Telerradiografia Lateral de Crânio - Uniclin Clínica Médica e Odontologica

Ir para o conteúdo

Menu principal:

EXAMES
 
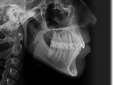
  Telerradiografia Lateral de Crânio

A telerradiografia lateral é uma radiografia do crânio padronizada e reproduzível. A técnica radiográfica extra-bucal permite a avaliação das relações entre os elementos dentais e os maxilares, e dos maxilares com o esqueleto facial, podendo assim avaliar os desvios de planos oclusais e alterações pertinentes às intervenções ortodônticas, ortopédicas e cirúrgicas.
 
Voltar para o conteúdo | Voltar para o Menu principal