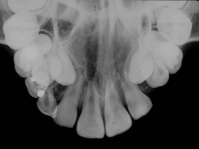
Radiografia Oclusal
Técnica radiográfica onde se utiliza um sensor radiográfico de maiores dimensões, abrangendo na imagem grande parte da maxila ou mandíbula, dependendo da área que se pretende analisar (Oclusal súpero-anterior, transversal da maxila, superior lateral, ínfero-anterior, transversal da mandíbula ou oclusal inferior lateral).