Radiografias Periapicais - Uniclin Clínica Médica e Odontologica
Ir para o conteúdo
Menu principal:
BLOG
A CLÍNICA
EXAMES
CONVÊNIOS
CONTATO
REQUISIÇÕES
EXAMES
Radiografias Periapicais
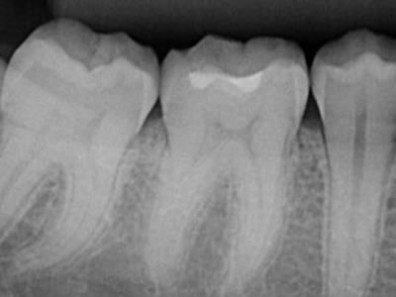
Radiografia obtida através de uma técnica radiográfica intrabucal que tem como objetivo visualizar a anatomia dentária e estruturas adjacentes com a maior fidelidade dimensional e maior detalhamento das estruturas possíveis.
BLOG
|
A CLÍNICA
|
EXAMES
|
CONVÊNIOS
|
CONTATO
|
REQUISIÇÕES
|
Mapa geral do site
Voltar para o conteúdo
|
Voltar para o Menu principal
Para usar este site, você deve habilitar o JavaScript